If you haven't yet heard, I'm pregnant! This sonogram was taken just as I was starting my 9th week -- look at those little legs!
I began writing this blog in 2011 as a means to document my experience while living in Korea and from the beginning I tried to find a good balance of maintaining my privacy. In documenting my pregnancy I'm unsure as to what that balance might entail but I couldn't resist documenting this experience in my blog because it is just that: another (big) experience I've had since my "temporary" move to this country.
First, let's address some of the common questions:
Q: When are you due?
A: June 9th, 2019! Which is truly bizarre because that was the date that I was due but I came a week earlier on June 2nd.
Q: What is his temporary/fetus name (태명)?
A: This is a weird one to translate into English. In Korea it's really common to give the fetus a name. Sure, in English we might call it "little bean" or whatnot, but Koreans tend to put more thought into the name and maybe reflect what they hope their kids will aspire to be.
Ours? 무/Moo/Radish.
Why? Because it sounds cute. At the time, I didn't know there was so much meaning behind these nicknames. Regardless, I am Mama-moo (popular kpop girl group) and PH is Papa-moo 🙃
ie: hoping for your kid to be...
healthy? = 튼튼이/teun-teun-ee
smart? = 도담이/do-dam-ee
lucky? = 대박이/dae-bak-ee
Ours? 무/Moo/Radish.
Why? Because it sounds cute. At the time, I didn't know there was so much meaning behind these nicknames. Regardless, I am Mama-moo (popular kpop girl group) and PH is Papa-moo 🙃
Q: Do you know what it is?
A: A human as far as we know - ha. It's a *~boy~*.
Q: Does this mean you're coming back to Canada?
A: The quick answer is no. While our plan is to move back to Canada eventually, my current job offers me maternity leave.
Q: What have you been craving?
A: I haven't had cravings for specific things as much as I've had aversions to specific things. I didn't eat fried chicken for four months (which is a true shame for PH because that's his favourite food and who could blame him? Korean fried chicken is next level). On the topic of food, being pregnant seems to have made me the default restaurant chooser which is thoughtful but burdensome.
Q: How do you feel?
A: Again, while very thoughtful and well-intentioned, nothing makes me feel more like a fragile patient than getting this question constantly. In general I have felt completely fine but if the need arises I'll complain without prompt.
Q: Was it planned?
A: This is a bit of a risky question, isn't it? lol I got this question a couple times. I have absolutely no problem answering it but I find it really funny: Yes, it was planned.
-- Finding Out --
I found out I was pregnant around the 4 week mark which is pretty early but my body runs like clockwork and we knew that pregnancy was a possibility. What's really funny is another common question is "How did you tell PH that you were pregnant?" and the truth is that he knew before I did. I took the test and made PH check the result after the few minutes were up. It was a pretty unbelievable moment because, as I said, it was planned but we hadn't expected it to happen so soon. When I googled 'pregnancy test results' later, it seemed like some women were really unsure like their results were ambiguous and they weren't sure if the line was strong enough. For us, it was completely unambiguous: Those two red lines were clear as day.
-- Initial To-Dos --
1. Hospital
We went to get confirmation at the hospital the next day. Being completely new to this experience and being the kind of person who never goes to the doctor and being in a country that doesn't tend to speak English, the first visit was a bit nerve-wracking. I didn't know what to expect whatsoever. To my pleasant surprise the hospital visit was quick and painless.
We went in to the front desk, checked in with my ARC (Alien Registration Card 👽), had my blood pressure checked at the nurses station, and then waited outside my doctor's office (the hospital we visit has about 5 resident doctors) for my name to be called which only took 5-10 minutes. Once inside the office, I was asked by a nurse to change into a hospital skirt and lie on the table. The first few ultrasounds were not what I expected and the first time was especially jarring. Rather than the ultrasound where they spread goo on your stomach and do the ultrasound that way, this one was more invasive and involved a wand. Perhaps this is standard practice but no one told me. After two or three appointments it changed to the standard, as-seen-on-tv, abdominal ultrasound.
Having never had this experience elsewhere, I'm not sure how the procedure goes in other countries but I've gotten an ultrasound and sonogram at every single one of my appointments. After talking to moms in Canada, this doesn't seem to be universal practice and Canadians only have a few ultrasounds throughout their pregnancy. During my first trimester, appointments were every two weeks and then at around the 11 week mark we started having monthly appointments.
The first visit was just to confirm the pregnancy so nothing interesting happened there and we went home with a sonogram as well as some official paperwork saying I was pregnant which we would use at the bank later that day.
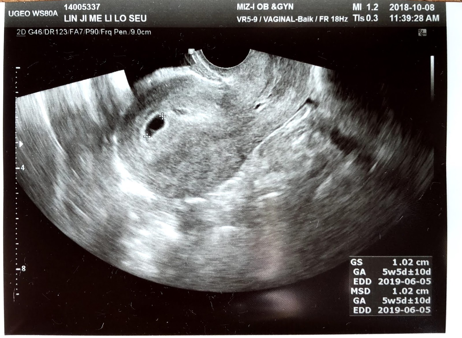
Week 5 (first sonogram/confirmation of pregnancy; Hello, my name is Lin-ji Me-li Lo-seu)
2. Health Centre
After official confirmation we also made a visit to the local Community Health Centre/보건소 (bo-gun-so) which will provide us with various free things throughout the pregnancy. Our first visit provided us with a 2-month supply of folic acid (엽산/yup-san) and a 'pregnancy badge'. This badge signals to others that you are pregnant and, in theory, is particularly useful for those riding public transit to signal to others to give up a seat or justify sitting in the pregnant people zone. I drive so didn't have to put the badge to use.
This may side-track my story, but it was also at the health centre that I found out my blood type. Korean elementary school students know their blood type and it can sometimes be as common knowledge as when your birthday is. With this cultural tidbit in mind, you can imagine that the nurses at the health centre were shocked that I had gone 30 years never knowing my blood type. This would have been a run-of-the-mill process but, as it turns out, my blood type is O negative (thanks, Dad!). There's a whole lot of science behind it, but mothers with negative blood can run into issues if the baby has a different blood type (PH is A positive) and if my blood somehow enters the baby's chambers, my body could start attacking as if it were a foreign object in my body or something. Cool. I don't know the science behind it, but risk can be eliminated/reduced with an injection at 25 weeks or so. I'm also O negative which is apparently extremely rare in Korea.
3. Bank
Our final stop that day was to the local bank to apply for our "congrats on having a baby here's some money to cover hospital bills" debit card. Yes ma'am yes please! When we applied for ours in late 2018, we were granted 500,000 won which is roughly $500 CAD.
-- Routine Hospital Visits --
At our second visit to the hospital we received our "Miz Mom Diary" in which the nurses record what week it is, my weight, my blood pressure, baby's length/weight, when our next appointment would be, and what we could expect to have done at that appointment.
Week 6
At our second appointment (the first after simply getting confirmation) the routine became clear: give alien registration card, wait to be called by nurses, have blood pressure and weight checked, wait outside my doctor's office, have ultrasound. A routine visit only takes about 30 minutes. We were actually able to hear the little bean's heartbeat at this appointment which I was shocked by. In addition to routine things I also had a blood and urine test to check for things such as anemia, rubella, hepatitis B, etc.
At our third appointment, we had our first round of blood tests which would screen for chances of the baby having genetic disorders such as Down Syndrome.
Week 11
At our last appointment of the first trimester, we had our routine ultrasound as well as the second round of blood tests to screen for genetic disorders. It was also around this time that we told the news to our friends and family and this baby is already so lucky to be so loved.
Overall, I've been very fortunate to have had a problem-free pregnancy thus far (knock on wood). I had a few days when I didn't feel great, but I never had any morning sickness. The worst 'symptom' I had was fatigue which just meant I had to take naps in my car between classes at work. Constantly lacking energy, I felt unmotivated and as though I was a completely different person devoid of a personality altogether. Luckily, the fatigue has since subsided and I can carry on my life as a relatively normal human. Next up: second trimester.
1. Hospital
We went to get confirmation at the hospital the next day. Being completely new to this experience and being the kind of person who never goes to the doctor and being in a country that doesn't tend to speak English, the first visit was a bit nerve-wracking. I didn't know what to expect whatsoever. To my pleasant surprise the hospital visit was quick and painless.
We went in to the front desk, checked in with my ARC (Alien Registration Card 👽), had my blood pressure checked at the nurses station, and then waited outside my doctor's office (the hospital we visit has about 5 resident doctors) for my name to be called which only took 5-10 minutes. Once inside the office, I was asked by a nurse to change into a hospital skirt and lie on the table. The first few ultrasounds were not what I expected and the first time was especially jarring. Rather than the ultrasound where they spread goo on your stomach and do the ultrasound that way, this one was more invasive and involved a wand. Perhaps this is standard practice but no one told me. After two or three appointments it changed to the standard, as-seen-on-tv, abdominal ultrasound.
Having never had this experience elsewhere, I'm not sure how the procedure goes in other countries but I've gotten an ultrasound and sonogram at every single one of my appointments. After talking to moms in Canada, this doesn't seem to be universal practice and Canadians only have a few ultrasounds throughout their pregnancy. During my first trimester, appointments were every two weeks and then at around the 11 week mark we started having monthly appointments.
Week 5 (first sonogram/confirmation of pregnancy; Hello, my name is Lin-ji Me-li Lo-seu)
2. Health Centre
After official confirmation we also made a visit to the local Community Health Centre/보건소 (bo-gun-so) which will provide us with various free things throughout the pregnancy. Our first visit provided us with a 2-month supply of folic acid (엽산/yup-san) and a 'pregnancy badge'. This badge signals to others that you are pregnant and, in theory, is particularly useful for those riding public transit to signal to others to give up a seat or justify sitting in the pregnant people zone. I drive so didn't have to put the badge to use.
This may side-track my story, but it was also at the health centre that I found out my blood type. Korean elementary school students know their blood type and it can sometimes be as common knowledge as when your birthday is. With this cultural tidbit in mind, you can imagine that the nurses at the health centre were shocked that I had gone 30 years never knowing my blood type. This would have been a run-of-the-mill process but, as it turns out, my blood type is O negative (thanks, Dad!). There's a whole lot of science behind it, but mothers with negative blood can run into issues if the baby has a different blood type (PH is A positive) and if my blood somehow enters the baby's chambers, my body could start attacking as if it were a foreign object in my body or something. Cool. I don't know the science behind it, but risk can be eliminated/reduced with an injection at 25 weeks or so. I'm also O negative which is apparently extremely rare in Korea.
Our final stop that day was to the local bank to apply for our "congrats on having a baby here's some money to cover hospital bills" debit card. Yes ma'am yes please! When we applied for ours in late 2018, we were granted 500,000 won which is roughly $500 CAD.
-- Routine Hospital Visits --
At our second visit to the hospital we received our "Miz Mom Diary" in which the nurses record what week it is, my weight, my blood pressure, baby's length/weight, when our next appointment would be, and what we could expect to have done at that appointment.
Week 6
At our second appointment (the first after simply getting confirmation) the routine became clear: give alien registration card, wait to be called by nurses, have blood pressure and weight checked, wait outside my doctor's office, have ultrasound. A routine visit only takes about 30 minutes. We were actually able to hear the little bean's heartbeat at this appointment which I was shocked by. In addition to routine things I also had a blood and urine test to check for things such as anemia, rubella, hepatitis B, etc.
Week 8
At our third appointment, we had our first round of blood tests which would screen for chances of the baby having genetic disorders such as Down Syndrome.
At our last appointment of the first trimester, we had our routine ultrasound as well as the second round of blood tests to screen for genetic disorders. It was also around this time that we told the news to our friends and family and this baby is already so lucky to be so loved.

I began writing this blog in 2011 as a means to document my experience while living in Korea and from the beginning I tried to find a good balance of maintaining my privacy. In documenting my pregnancy I'm unsure as to what that balance might entail but I couldn't resist documenting this experience in my blog because it is just that: another (big) experience I've had since my "temporary" move to this country.
ReplyDeletecricut air 2 bundle
cricut craft machine
cricut near me
Cricut Cup Designs
cricut patterns
cricuit designs
61902F0E2B
ReplyDeletekiralık hacker
hacker arıyorum
kiralık hacker
hacker arıyorum
belek
9D9337554B
ReplyDeleteTakipçi Satın Al
Footer Link Satın Al
Erasmus
Raid Promosyon Kodu
Titan War Hediye Kodu
B4C883329B
ReplyDeletetakipçi al
Türk Takipçi Hilesi
Livu Altın Hilesi
Dls 24 Apk Para Hilesi
Bitcoin En Güvenilir Nereden Alınır
İnstagram Video İzleyenleri Görme Hilesi
Bannerlord Hile Kodları
Truckers of Europe 3 Apk Para Hilesi
green swivel accent chair